Book Your Appointment Now: WhatsApp +91 9251813976
Book Your Appointment Now: WhatsApp +91 9251813976
Book Your Appointment Now: WhatsApp +91 9251813976
Book Your Appointment Now: WhatsApp +91 9251813976
Book Your Appointment Now: WhatsApp +91 9251813976

Find out health conditions and services

Find out health conditions and services

KayaWell Icon

Liver cancer, also known as hepatic cancer, is a cancer which starts in the liver, rather than migrating to the liver from another organ or section of the body. In other words, it is a primary liver cancer.

Cancers that originate elsewhere and eventually reach the liver are known as liver metastasis or secondary liver cancers, and are most commonly from cancer of the gastrointestinal (GI) tract (colon cancer), lung cancer, renal cancer (cancer of the kidney), ovarian cancer and prostate cancer.

The liver, which is located below the right lung and under the ribcage is one of the largest organs of the human body. It is divided into the right and left lobes. Nutrient-rich blood is carried by the portal vein from the intestines to the liver, while oxygen-rich blood reaches the liver from the hepatic artery.

All vertebrates (animals with a spinal column) have a liver, as do some other animals. The liver has a range of functions, including detoxification (getting rid of toxins), synthesizing proteins, breaking down fats, and producing biochemicals that are essential for digestion. We cannot survive without a liver.

 

Treatment Idea Insurance Policy Near By Expert Wellness Plan Events Community Forum Wiki

Liver cancer, also known as hepatic cancer, is a cancer which starts in the liver, rather than migrating to the liver from another organ or section of the body. In other words, it is a primary liver cancer.

Cancers that originate elsewhere and eventually reach the liver are known as liver metastasis or secondary liver cancers, and are most commonly from cancer of the gastrointestinal (GI) tract (colon cancer), lung cancer, renal cancer (cancer of the kidney), ovarian cancer and prostate cancer.

The liver, which is located below the right lung and under the ribcage is one of the largest organs of the human body. It is divided into the right and left lobes. Nutrient-rich blood is carried by the portal vein from the intestines to the liver, while oxygen-rich blood reaches the liver from the hepatic artery.

All vertebrates (animals with a spinal column) have a liver, as do some other animals. The liver has a range of functions, including detoxification (getting rid of toxins), synthesizing proteins, breaking down fats, and producing biochemicals that are essential for digestion. We cannot survive without a liver.

 

Treatment Idea Insurance Policy Near By Expert Wellness Plan Events Community Forum Wiki

When we breathe, we do not often think of the complex process that is necessary to keep oxygen flowing through the body. The lungs are crucial to this, as they pass oxygen into the bloodstream and remove carbon dioxide that is then expelled from the body.

While a person can live a normal life with only 30 percent of lung function, there are thousands of people whose lungs have been damaged more significantly, and therefore, need a transplant to survive. Although some of the conditions that result in requiring a lung transplant are hereditary, most are caused or worsened by smoking or environmental pollution.


Treatment Idea Insurance Policy Near By Expert Wellness Plan Events Community Forum Wiki

A six-year study by the Centers for Disease Control and Prevention found three behaviors exerted enormous impact on mortality: not currently smoking, consuming a healthier diet, and moderately exercising at least 21 minutes a day. People with one of the three behaviors had a 40 percent lower risk of dying within that six-year period. Those with two out of three more than halved their chances of dying, and those with all three reduced their chances of dying in that time by 82 percent.

A similar study measured how much vitamin C subjects had in their bloodstreams, as vitamin C level was considered a good biomarker of plant food intake (and hence was used as a proxy for a healthy diet). The drop in mortality risk among those with healthier habits was equivalent to being 14 years younger. It’s like turning back the clock 14 years just by eating and living healthier.How else might we slow aging?The mitochondrial theory of aging suggests that free radical damage to our cells’ power source (mitochondria) leads to a loss of cellular energy and function over time. According to the theory, the resulting cellular damage is what essentially causes aging. Aging and disease have been thought of as the oxidation of the body; oxidant stress is thought to be why we all get wrinkles, why we lose some of our memory, why our organ systems break down as we get older.Basically, the theory goes, we’re rusting.

Eating antioxidant-rich foods may slow down this oxidant process. On average, plant foods may contain 64 times more antioxidants than animal foods. Including a variety of fruits, vegetables, herbs, and spices each meal continuously floods our body with antioxidants to help ward off stroke and other age-related diseases.Consuming fruits and veggies, and not smoking, has also been associated with longer protective telomeres, the caps on the tips of our chromosomes that keep DNA from unraveling. (Think of the plastic tips on the ends of our shoelaces.) Each time our cells divide, a bit of that cap is lost. Telomeres can start shortening as soon as we’re born, and when they’re gone, we’re gone. The food we eat may impact how fast we lose our telomeres: Consumption of refined grains, soda, meat, and dairy has been linked to shortened telomeres, while fruit, vegetable, and other antioxidant-rich plant food intake has been associated with longer ones.


Treatment Idea Insurance Policy Near By Expert Wellness Plan Events Community Forum Wiki

Laryngitis is an inflammation of your voice box (larynx) from overuse, irritation or infection.Inside the larynx are your vocal cords — two folds of mucous membrane covering muscle and cartilage. Normally, your vocal cords open and close smoothly, forming sounds through their movement and vibration.But in laryngitis, your vocal cords become inflamed or irritated. This swelling causes distortion of the sounds produced by air passing over them. As a result, your voice sounds hoarse. In some cases of laryngitis, your voice can become almost undetectable.Laryngitis may be short-lived (acute) or long lasting (chronic). Most cases of laryngitis are triggered by a temporary viral infection or vocal strain and aren't serious. Persistent hoarseness can sometimes signal a more serious underlying medical condition.


Treatment Idea Insurance Policy Near By Expert Wellness Plan Events Community Forum Wiki

Lice are tiny insects that can be found on various parts of the body, including the head, eyebrows, and eyelashes. These insects live on humans and feed on their blood. Lice that live close to the scalp are known as head lice.Head lice are found most often on the back of the neck and behind the ears. Although lice can’t jump or fly, they can spread very easily from person to person through head-to-head contact or through shared clothing or personal items (such as a hat, towel, or hairbrush). Contrary to popular myth, personal hygiene has nothing to do with getting head lice.


Treatment Idea Insurance Policy Near By Expert Wellness Plan Events Community Forum Wiki

If you are concerned about your uneven tone complexion or pigmentation spots on your face, you have come to the right place. In this article you will find tips about how to lighten skin naturally.By following our skin lightening tips you can get even tone skin complexion with lighter and brighter skin. We will tell you about natural skin lightening tips that can actually make a difference.


Treatment Idea Insurance Policy Near By Expert Wellness Plan Events Community Forum Wiki

A liver transplant is an operation that replaces a patient's diseased liver with a whole or partial healthy liver from another person. This article explains the current indications for liver transplantation, types of donor livers, the operation itself, and the immunosuppression that is required after transplantation.Liver transplantation surgically replaces a failing or diseased liver with one that is normal and healthy. At this time, transplantation is the only cure for liver insufficiency or liver failure because no device or machine reliably performs all of the functions of the liver. People who require liver transplants typically have one of the following conditions


Treatment Idea Insurance Policy Near By Expert Wellness Plan Events Community Forum Wiki

Liver

The liver is a large organ on the upper right side of your torso, opposite the stomach and behind the ribcage. One of its main functions is to make a substance called bile (composed mostly of bilirubin, bile salts, and cholesterol) that is required to digest food in the small intestine.


The liver is divided into two sections: a right lobe and a left lobe. Both lobes are made up of cells called hepatocytes. These cells produce bile and secrete it into the bile ducts, which carry bile to the gallbladder where it is stored until used by the small intestine.


Gallbladder and Bile Ducts

The gallbladder is a pear-shaped sac under the right lobe of the liver. Between meals, it stores and concentrates bile, which is produced at a constant rate by the liver. When it is not full of bile, the gallbladder is about 3 inches long and 1 inch wide at its thickest part.


After meals, the gallbladder releases bile into the duodenum to aid with digestion. The cystic duct carries bile from the gallbladder to the common bile duct, which empties into the duodenum. Entry of bile into the duodenum is regulated by layers of muscle called the sphincter of Oddi.


Between meals, the sphincter of Oddi closes and prevents bile from entering the duodenum. During and after meals, this sphincter opens and allows bile to enter the duodenum.


Pancreas

The pancreas is a long, thin gland that lies horizontally behind the bottom part of your stomach. It makes digestive enzymes that flow through the pancreatic duct to the small intestine. These enzymes, along with bile from the gallbladder, break down food for use as energy by the body. The pancreas also makes insulin and glucagon, hormones that help regulate blood glucose (sugar) levels.


Treatment Idea Insurance Policy Near By Expert Wellness Plan Events Community Forum Wiki

Fatigue is a constant state of tiredness, even when you’ve gotten your usual amount of sleep. This symptom develops over time and causes a drop in your physical, emotional, and psychological energy levels. You’re also more likely to feel unmotivated to participate in or do activities you normally enjoy.

Loss of appetite means you don’t have the same desire to eat as you used to. Signs of decreased appetite include not wanting to eat, unintentional weight loss, and not feeling hungry. The idea of eating food may make you feel nauseous, as if you might vomit after eating. Long-term loss of appetite is also known as anorexia, which can have a medical or psychological cause.


Treatment Idea Insurance Policy Near By Expert Wellness Plan Events Community Forum Wiki

Olfaction (the sense of smell) is an important function of the nasal cavity and skull base that has become increasingly investigated due to its role in behavior, cognition, disease severity, quality of life (QOL), and sinonasal disease. Smelling is critical and important to our daily lives. For instance, the sense of smell can alert us to the smoke of a fire or the odor of a natural gas leak, dangerous fumes, or rotten/spoiled food. Importantly, 80% of our taste is related to smell. Remember the smell of your spouse’s perfume or cologne or the taste of your mother’s cooking? Taste and smell unlock some of our deepest memories. They are critical to our perception of the outside world, factor into almost all important social interactions in our society, and the loss of taste and smell can negatively affect one’s QOL.


Treatment Idea Insurance Policy Near By Expert Wellness Plan Events Community Forum Wiki

The pathophysiology of lower back pain is a source of fascination, frustration, and, often, confusion by clinicians and scientists who both treat and study patients who have this problem. The statement that we do not know the origin of low back pain in the majority of cases has become a mantra to any introduction to the topic. The Agency for Health Care Policy and Research (AHCPR) Guidelines on Low Back Problems and similar guidelines in other countries have given up on attempts to define the origin of the pain in patients who have this problem and have instead resorted to differentiating between so-called Red Flag pathologic conditions and patients who have nonspecific low back pain, with or without leg symptoms.


Treatment Idea Insurance Policy Near By Expert Wellness Plan Events Community Forum Wiki

Low blood pressure might seem desirable, and for some people, it causes no problems. However, for many people, abnormally low blood pressure (hypotension) can cause dizziness and fainting. In severe cases, low blood pressure can be life-threatening.

A blood pressure reading lower than 90 millimeters of mercury (mm Hg) for the top number (systolic) or 60 mm Hg for the bottom number (diastolic) is generally considered low blood pressure.

The causes of low blood pressure can range from dehydration to serious medical or surgical disorders. It's important to find out what's causing your low blood pressure so that it can be treated.


Treatment Idea Insurance Policy Near By Expert Wellness Plan Events Community Forum Wiki

lood is made up of several types of cells. These cells float in a liquid called plasma. The types of blood cells are:red blood cellswhite blood cellsplatelets, or thrombocytesWhen your skin is injured or broken, platelets clump together and form clots to stop the bleeding. When you don’t have enough platelets in your blood, your body cannot form clots.A low platelet count may also be called thrombocytopenia. This condition can range from mild to severe, depending on its underlying cause. For some, the symptoms can include severe bleeding and are possibly fatal if they’re not treated. Other people may not experience any symptoms.Typically, a low platelet count is the result of a medical condition, like leukemia, or certain drugs. The treatment usually addresses the condition causing the thrombocytopenia.


Treatment Idea Insurance Policy Near By Expert Wellness Plan Events Community Forum Wiki

Lung cancer is one of the most common types of cancer; it is also considered to be a severe form. It has affected a lot of people in society. So, this blog will ensure that you get all that you want to know about lung cancer simply. Here we will describe the factors that lead to lung cancer, the signs and symptoms of the disease, and how it can be prevented. 

We will also briefly note the various options for the treatment of lung cancer. Increasing one’s knowledge about lung cancer could help reduce the incidences or help prevent others from being affected. Many users question whether the doctors is lung cancer treatable as they think about how they would be able to dissect lung cancer. So we aim to increase awareness of patients at the stages when developing lung cancer. To determine how to diagnose this disease in its early stages and decrease the probability of developing this hazard. 


What is Lung Cancer?

Lung cancer develops in the lungs, which are vital organs in the process of breathing. The lungs are what assist in the processes of respiration since we breathe in oxygen while breathing out carbon dioxide. In lung cancer, there is an abnormal growth of cells in the lungs that can multiply beyond their normal turnover rate. These cells do not have orderly patterns regarding cell division. Instead, what they do is divide and enhance their numbers and become a mass that is termed a tumor. 


Since it develops from the lung tissue, the tumor can impede or even harm other sections of the lung as it grows larger. This makes it utterly cumbersome for the lungs to perform as required. In Individuals with lung disease, respiratory effort may be difficult, and oxygen may not be available to the body at optimum levels. Awareness of how lung cancer impacts the lungs can thus help in realizing its effects on health.


Treatment Idea Insurance Policy Near By Expert Wellness Plan Events Community Forum Wiki

Lung cancer is one of the most common types of cancer; it is also considered to be a severe form. It has affected a lot of people in society. So, this blog will ensure that you get all that you want to know about lung cancer simply. Here we will describe the factors that lead to lung cancer, the signs and symptoms of the disease, and how it can be prevented. 

We will also briefly note the various options for the treatment of lung cancer. Increasing one’s knowledge about lung cancer could help reduce the incidences or help prevent others from being affected. Many users question whether the doctors is lung cancer treatable as they think about how they would be able to dissect lung cancer. So we aim to increase awareness of patients at the stages when developing lung cancer. To determine how to diagnose this disease in its early stages and decrease the probability of developing this hazard. 


What is Lung Cancer?

Lung cancer develops in the lungs, which are vital organs in the process of breathing. The lungs are what assist in the processes of respiration since we breathe in oxygen while breathing out carbon dioxide. In lung cancer, there is an abnormal growth of cells in the lungs that can multiply beyond their normal turnover rate. These cells do not have orderly patterns regarding cell division. Instead, what they do is divide and enhance their numbers and become a mass that is termed a tumor. 


Since it develops from the lung tissue, the tumor can impede or even harm other sections of the lung as it grows larger. This makes it utterly cumbersome for the lungs to perform as required. In Individuals with lung disease, respiratory effort may be difficult, and oxygen may not be available to the body at optimum levels. Awareness of how lung cancer impacts the lungs can thus help in realizing its effects on health.


Treatment Idea Insurance Policy Near By Expert Wellness Plan Events Community Forum Wiki

Lung transplantation or pulmonary transplantation is a surgical procedure in which a patient's diseased lungs are partially or totally replaced by lungs which come from a donor. Donor lungs can be retrieved from a living donor or a deceased donor. A living donor can only donate one lung lobe. With some lung diseases a recipient may only need to receive a single lung. With other lung diseases such as cystic fibrosis it is imperative that a recipient receive two lungs. While lung transplants carry certain associated risks, they can also extend life expectancy and enhance the quality of life for end-stage pulmonary patients.

Treatment Idea Insurance Policy Near By Expert Wellness Plan Events Community Forum Wiki

Lyme disease is caused by the bacterium Borrelia burgdorferi and is transmitted to humans through the bite of infected blacklegged ticks. Typical symptoms include fever, headache, fatigue, and a characteristic skin rash called erythema migrans. If left untreated, infection can spread to joints, the heart, and the nervous system. Lyme disease is diagnosed based on symptoms, physical findings (e.g., rash), and the possibility of exposure to infected ticks.  Laboratory testing is helpful if used correctly and performed with validated methods. Most cases of Lyme disease can be treated successfully with a few weeks of antibiotics. Steps to prevent Lyme disease include using insect repellent, removing ticks promptly, applying pesticides, and reducing tick habitat. The ticks that transmit Lyme disease can occasionally transmit other tickborne diseases as well.


Treatment Idea Insurance Policy Near By Expert Wellness Plan Events Community Forum Wiki

Lichen planus is a chronic recurrent inflammatory disorder of the skin and mucous membranes. It is characterized by small, flat-topped, polygonal bumps that may coalesce into rough, scaly plaques on the skin. There may also be involvement of the lining tissue (mucous membranes) of the mouth and/or vagina.


Lichen planus is a poorly understood skin condition. Its name is descriptive in that to some it resembles a simple plant, a lichen, which grows on rocks and tree bark, while planus is Latin for flat.

Treatment Idea Insurance Policy Near By Expert Wellness Plan Events Community Forum Wiki

Liver blood tests are designed to show evidence that abnormalities, for example, inflammation, liver cell damage, has or is occurring within the liver.The blood tests most frequently used for liver disease are the aminotransferases (alanine aminotransferase or ALT and aspartate aminotransferase or AST).Normal levels of ALT ranges from about 7-56 units/liter, and 10-40units/liters for AST.Elevated levels of AST and ALT may signify the level of liver damage in a person.Common causes of elevated ALT and AST areheart failure.

Many drugs may cause elevated AST, and ALT and some medications can cause severe damage (for example, acetaminophen [Tylenol liver damage]).Less common causes of abnormal AST and ALT levels are wide ranging (for example, toxins, and autoimmune diseases)People with mild to moderate elevations of AST and ALT with no or few symptoms should follow-up with their doctor for potential underlying causes of elevated AST and/or ALT.Repeated test levels (monitoring) is useful in some patients (for example, viral-caused and Tylenol-caused elevations) to guide therapeutic treatments.Other liver enzymes, although not measured routinely, may add additional information about liver functions.

Treatment Idea Insurance Policy Near By Expert Wellness Plan Events Community Forum Wiki

Lynch syndrome, often called hereditary nonpolyposis colorectal cancer (HNPCC), is an inherited disorder that increases the risk of many types of cancer, particularly cancers of the colon (large intestine) and rectum, which are collectively referred to as colorectal cancer. People with Lynch syndrome also have an increased risk of cancers of the stomach, small intestine, liver, gallbladder ducts, upper urinary tract, brain, and skin. Additionally, women with this disorder have a high risk of cancer of the ovaries and lining of the uterus (the endometrium). People with Lynch syndrome may occasionally have noncancerous (benign) growths (polyps) in the colon, called colon polyps. In individuals with this disorder, colon polyps occur earlier but not in greater numbers than they do in the general population.

Treatment Idea Insurance Policy Near By Expert Wellness Plan Events Community Forum Wiki

Latex allergy is a reaction to certain proteins found in natural rubber latex, a product made from the rubber tree. If you have a latex allergy, your body mistakes latex for a harmful substance.


Latex allergy may cause itchy skin and hives or even anaphylaxis, a potentially life-threatening condition that can cause throat swelling and severe difficulty breathing. Your doctor can determine if you have a latex allergy or if you're at risk of developing a latex allergy.


Understanding latex allergy and knowing common sources of latex can help you prevent allergic reactions.

Treatment Idea Insurance Policy Near By Expert Wellness Plan Events Community Forum Wiki

Amblyopia, commonly known as lazy eye, is the eye condition noted by reduced vision not correctable by glasses or contact lenses and is not due to any eye disease. The brain, for some reason, does not fully acknowledge the images seen by the amblyopic eye. This almost always affects only one eye but may manifest with reduction of vision in both eyes. It is estimated that three percent of children under six have some form of amblyopia.

Treatment Idea Insurance Policy Near By Expert Wellness Plan Events Community Forum Wiki

Lead poisoning occurs when lead builds up in the body, often over months or years. Even small amounts of lead can cause serious health problems. Children younger than 6 years are especially vulnerable to lead poisoning, which can severely affect mental and physical development. At very high levels, lead poisoning can be fatal.


Lead-based paint and lead-contaminated dust in older buildings are the most common sources of lead poisoning in children. Other sources include contaminated air, water and soil. Adults who work with batteries, do home renovations or work in auto repair shops also might be exposed to lead.


There is treatment for lead poisoning, but taking some simple precautions can help protect you and your family from lead exposure before harm is done.

Treatment Idea Insurance Policy Near By Expert Wellness Plan Events Community Forum Wiki

Leiomyosarcoma (LMS) is a type of soft tissue sarcoma. Soft tissue sarcomas can develop in muscle, fat, blood vessels, or any of the other tissues that support, surround and protect the organs of the body.


Leiomyosarcoma is one of the more common types of soft tissue sarcoma to develop in adults. We don’t yet know the exact cause.


Leiomyosarcomas are usually treated at a specialist hospital. The usual treatment for a leiomyosarcoma is surgery to remove the tumour. You may have radiotherapy after surgery, to reduce the chance of the cancer coming back. Chemotherapy is also sometimes used for a leiomyosarcomas that has come back, or that has spread.


You may be asked to take part in clinical trial looking at new ways of treating leiomyosarcomas. Your doctor or specialist nurse can talk to you about this.


After treatment, you will have regular check-ups. If you have any problems or notice any new symptoms between these check-ups, it’s important to let your doctor know as soon as possible

Treatment Idea Insurance Policy Near By Expert Wellness Plan Events Community Forum Wiki

Lewy body dementia (LBD) is a progressive brain disorder in which Lewy bodies (abnormal deposits of a protein called alpha-synuclein) build up in areas of the brain that regulate behavior, cognition, and movement.

 

A complex disease, LBD can present with a range of symptoms including problems with thinking, memory, moving, sleep and/or changes in behavior, to name a few of the physical, cognitive, and behavioral symptoms.

 

LBD also affects autonomic body functions, such as blood pressure control, temperature regulation, and bladder and bowel function. Progressively debilitating, LBD can also cause people to experience visual hallucinations or act out their dreams.

Treatment Idea Insurance Policy Near By Expert Wellness Plan Events Community Forum Wiki

Lichen nitidus is an unusual/ rare non-infectious skin condition most commonly seen in children. It occurs in the form of hundreds and hundreds of tiny grids of bumps over the skin. They are often found in tight groups that appear like a big patch.


The arms and the folds of the skin are most commonly affected, but they can occur anywhere in the body. In fairer skinned people, these bumps are slightly reddish in color, whereas in darker skinned people, the bumps may vary between lighter or darker in color than the normal skin.

Treatment Idea Insurance Policy Near By Expert Wellness Plan Events Community Forum Wiki

Lichen sclerosus (LIE-kun skluh-ROW-sus) is an uncommon condition that creates patchy, white skin that's thinner than normal. Lichen sclerosus can affect skin anywhere on your body. But it most often involves skin of the vulva, foreskin of the penis or skin around the anus.


Anyone can get lichen sclerosus but postmenopausal women have a high risk.


Sometimes lichen sclerosus improves on its own, and you won't need any treatment. If you do need treatment, your doctor can suggest options to return a more normal appearance to your skin and decrease the tendency for scarring.

Treatment Idea Insurance Policy Near By Expert Wellness Plan Events Community Forum Wiki

Limited scleroderma, also known as CREST syndrome, is one subtype of scleroderma — a condition whose name means "hardened skin."


The skin changes associated with limited scleroderma typically occur only in the lower arms and legs, below the elbows and knees, and sometimes affect the face and neck. Limited scleroderma can also affect your digestive tract, heart, lungs or kidneys.


The problems caused by limited scleroderma may be minor. Sometimes, however, the disease affects the lungs or heart, with potentially serious results. Limited scleroderma has no known cure. Treatments focus on managing symptoms, preventing serious complications and improving quality of life.

Treatment Idea Insurance Policy Near By Expert Wellness Plan Events Community Forum Wiki

Lip cancers are abnormal cells that grow out of control and form lesions or tumors on the lips. They are the most common type of oral cancers. These cancers develop in thin, flat cells — called squamous cells — that line the lips, mouth, tongue, cheeks, sinuses, throat, and hard and soft palates.


Lip cancer and other kinds of oral cancers are types of head and neck cancers.


Certain lifestyle choices, such as smoking, drinking, sun exposure, and tanning, increase your risk of developing lip cancer. Dentists are typically the first to notice signs of lip cancers, often during a routine dental exam.


Lip cancers are highly curable when diagnosed early.

Treatment Idea Insurance Policy Near By Expert Wellness Plan Events Community Forum Wiki

Have you noticed a soft, rubbery bulge under your skin somewhere?


That could be a lipoma. They happen when a lump of fat starts to grow in the soft tissue of your body. Though they’re classified as tumors, they’re usually harmless.


They’re the most common tumor to form beneath your skin, with about 1 person in 1,000 getting one at some point. You usually find them in your upper body, arms, or thighs.

Treatment Idea Insurance Policy Near By Expert Wellness Plan Events Community Forum Wiki

A diagnosis of liposarcoma and its treatment made Mayor Rob Ford, the controversial former mayor of Toronto, decide to take his name out of the running for the election for Toronto's mayor in 2014. The disease caused his death on Tues., Mar. 22, 2016. His disease and death at age 46 has stimulated further interest in liposarcoma, especially pleomorphic liposarcoma, a relatively rare cancer that is difficult to treat because the tumors are usually found or diagnosed when the disease is advanced.

Treatment Idea Insurance Policy Near By Expert Wellness Plan Events Community Forum Wiki

Listeriosis is an infection caused by a gram stain-positive motile bacterium named Listeria monocytogenes. The foodborne illness produces fever, muscle aches, and, in many people, diarrhea. Severe infections can cause headaches, meningitis, convulsions, and death. Most healthy people exposed to the bacteria have minor or no symptoms, but a few people, especially the elderly, pregnant females and their fetus, newborns, and anyone with a compromised immune system are especially susceptible to these organisms. Listeria bacteria are widespread throughout the world and are often associated with farm animals that may show no signs of infection. Research shows that many animals are uninfected carriers, and they suggest that some humans carry these organisms as part of their bowel flora. Except for pregnant women and their fetus or newborn, there is no direct transfer of Listeria from human to human.


The organisms (Listeria monocytogenes) that cause listeriosis have probably been infecting humans for centuries. Listeria was first isolated from an infected WWI soldier in 1918 and had many different names until 1940, when the genus and species names were firmly established. However, the bacteria were first recognized as a food-borne (food poisoning) pathogen in 1979. The bacteria can penetrate human cells and can multiply inside them. People with altered or impaired immune systems have cells that are less able to control the spread of these organisms into the blood or into other cells. In 2010, a known species, Listeria ivanovii, thought only to infect cattle, was found to infect humans so there are two Listeria species that can infect humans.


Outbreaks of listeriosis can occur with some frequency. For example, in 2017, soft raw milk cheese was a source of an outbreak (Vulto Creamery). In this outbreak, eight people were infected and two died. Other recalls of products in 2017 include 3 tons of cheese for possible Listeria contamination (La Nica Products INC.), macadamia nuts (Simple Truth brand), Ava's Organic Cashews, and Queso Fresco cheese, for the same problem.

Treatment Idea Insurance Policy Near By Expert Wellness Plan Events Community Forum Wiki

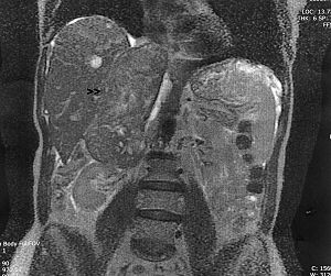
A liver hemangioma is a tangled network of blood vessels in or on the surface of the liver. This tumor is noncancerous and usually doesn’t cause symptoms. In fact, most people don’t even know they have a liver hemangioma. It’s usually only discovered during a test or procedure for an unrelated condition. Even when they’re diagnosed, most liver hemangiomas don’t require treatment.


A liver hemangioma is noncancerous and doesn’t increase your risk of developing cancer. The tumor is usually small, measuring less than 4 centimeters in diameter. In some cases, however, it can grow much larger. A larger tumor is more likely to cause symptoms, such as abdominal pain and nausea. Pregnant women and women using estrogen replacement therapy have a higher risk of developing a large hemangioma. This is because estrogen may contribute to the growth of liver hemangiomas.


Most people only have one liver hemangioma. However, it’s possible for several hemangiomas to form on the liver at once.


A liver hemangioma typically doesn’t cause complications in adults, but it can be more dangerous when it develops in infants. In babies, the growth is called infantile hemangioendothelioma. It’s usually diagnosed before the baby is 6 months old. This is a rare condition in infants. Although the tumor isn’t cancerous, it has been linked to higher rates of heart failure.

Treatment Idea Insurance Policy Near By Expert Wellness Plan Events Community Forum Wiki

Long QT syndrome (LQTS) is a heart rhythm condition that can potentially cause fast, chaotic heartbeats. These rapid heartbeats might trigger a sudden fainting spell or seizure. In some cases, the heart can beat erratically for so long that it causes sudden death.


You can have a genetic mutation that puts you at risk of being born with congenital long QT syndrome. In addition, certain medications, imbalances of the body's salts and minerals (electrolyte abnormalities), and medical conditions might cause acquired long QT syndrome.


Long QT syndrome is treatable. You might need to take medications to prevent an erratic heart rhythm. In some cases, treatment for long QT syndrome involves surgery or an implantable device.


You'll also need to avoid certain medications that could trigger your long QT syndrome. After treatment, you likely can live and thrive, even with this condition. You may be able to continue being active in recreational — and even competitive — sports.

Treatment Idea Insurance Policy Near By Expert Wellness Plan Events Community Forum Wiki

Answer: Low sperm count implies that the fluids (semen) you ejaculate in the course of an orgasm consist of lesser sperm when compared with normal.


A low sperm count can be referred to as oligospermia. A total lack of sperm is known as Azoospermia. Your own sperm count is regarded as less than normal when you have less than fifteen million sperm per millilitre of semen.


Having a low sperm count reduces the chances that one of your own sperm will certainly fertilize the partner’s egg, leading to pregnancy. Nevertheless, numerous males that have a low sperm count will still be in a position to father a baby.

Treatment Idea Insurance Policy Near By Expert Wellness Plan Events Community Forum Wiki

Lupus nephritis is inflammation of the kidney that is caused by systemic lupus erythematous (SLE). Also called lupus, SLE is an autoimmune disease. With lupus, the body's immune system targets its own body tissues. Lupus nephritis happens when lupus involves the kidneys.


Up to 60% of lupus patients will develop lupus nephritis. When the kidneys are inflamed, they can't function normally and can leak protein. If not controlled, lupus nephritis can lead to kidney failure.

Treatment Idea Insurance Policy Near By Expert Wellness Plan Events Community Forum Wiki

The lymphatic system is a network of specialized vessels (lymph vessels) throughout the body whose purpose is to collect excess lymph fluid with proteins, lipids, and waste products from the tissues. This fluid is then carried to the lymph nodes, which filter waste products and contain infection-fighting cells called lymphocytes. The excess fluid in the lymph vessels is eventually returned to the bloodstream. When the lymph vessels are blocked or unable to carry lymph fluid away from the tissues, localized swelling (lymphedema) is the result.

Treatment Idea Insurance Policy Near By Expert Wellness Plan Events Community Forum Wiki


Hypoperfusion is the most common cause of lactic acidosis and hyperlactacidemia may be the only marker of tissue hypoperfusion.1 Suspect lactic acidosis when unexplained anion gap metabolic acidosis is encountered, especially if azotemia or ketoacidosis are not present. Evaluate metabolic acidosis, regional or diffuse tissue hypoperfusion, hypoxia, shock,2 congestive heart failure, dehydration, complicated postoperative state, ketoacidosis or nonketotic acidosis in diabetes mellitus, patients with infections, inflammatory states, postictal state, certain myopathies, acute leukemia and other neoplasia, enzyme defects, glycogen storage disease (type I), thiamine deficiency, and hepatic failure. A spontaneous form of lactic acidosis occurs. It is a prognostic index in particular clinical settings, especially in critically ill patients in shock.3 A relationship to renal disease also exists. With skin rash, seizures, alopecia, ataxia, keratoconjunctivitis, and lactic acidosis in children, consider defective biotin metabolism.4 Phenformin, ethanol, methanol, and salicylate poisoning and ethylene glycol may cause lactic acidosis. Acetaminophen toxicity causes lactic acidosis, sometimes with hypoglycemia. Cyanide, isoniazid, and propylene glycol are among the causes of lactic acidosis.1 Lactic acidosis may be due to inborn errors of metabolism.

Treatment Idea Insurance Policy Near By Expert Wellness Plan Events Community Forum Wiki

The lactate dehydrogenase (LDH) test looks for signs of damage to the body’s tissues. LDH is an enzyme found in almost every cell of your body, including your blood, muscles, brain, kidneys, and pancreas.The enzyme turns sugar into energy.  The LDH test measures the amount of LDH in your blood or other body fluid.When cells are damaged or destroyed, this enzyme is released into the fluid portion of blood. Doctors call this “serum” or “plasma.” LDH can also be released into other body fluid, including cerebrospinal fluid, which surrounds your brain and spinal cord.


Treatment Idea Insurance Policy Near By Expert Wellness Plan Events Community Forum Wiki

Cholesterol is a soft, wax-like substance found in all parts of the body. Your body needs a little bit of cholesterol to work properly. But too much cholesterol can clog your arteries and lead to heart diseaseCholesterol blood tests are done to help you and your health care provider better understand your risk for heart disease, stroke, and other problems caused by narrowed or blocked arteries. The ideal values for all cholesterol results depend on whether you have heart disease, diabetes, or other risk factors. Your provider can tell you what your goal should be  Some cholesterol is considered good and some is considered bad. Different blood tests can be done to measure each type of cholesterol. Your provider may order only a total cholesterol level as the first test. It measures all types of cholesterol in your blood.

Treatment Idea Insurance Policy Near By Expert Wellness Plan Events Community Forum Wiki

Lupus erythematosus (LE) cell testing was once performed to diagnose systemic lupus erythematous but has been replaced for this purpose by antinuclear antibody testing.

Negative findings on LE cell testing exclude a diagnosis of systemic lupus erythematosus (SLE).

The presence of LE cells indicates lupus.

A smear is considered positive when 10 or more characteristic LE cells are seen during a 15-minute search, associated with the presence of extracellular, amorphous, nuclear masses.

Treatment Idea Insurance Policy Near By Expert Wellness Plan Events Community Forum Wiki

The Lead Blood (Adult) test is used to monitor exposure to Lead in people age 16 and older. Lead and organic lead compounds are found in a number of industrial products including paints, plastics, storage batteries, bearing alloys, insecticides, and ceramics. Exposure may also occur through the inhalation of dust containing lead emitted by automobile exhaust and the discharging of firearms. This test is commonly ordered when someone is concerned about occupational or environmental lead exposure.  It is frequently used by people who work for or patronize shooting ranges.  This test is not appropriate for people under the age of 16.


Treatment Idea Insurance Policy Near By Expert Wellness Plan Events Community Forum Wiki

Lead poisoning through chronic exposure is characterized by gastrointestinal disturbance, anemia, insomnia, weight loss, motor weakness, muscle paralysis, and neuropathy. Ingestion of large quantities may produce death Increased urinary lead excretion indicates excessive lead exposure, regardless of clinical presentation. Erythrocyte protoporphyrin and whole blood lead levels are probably more sensitive indicators of excessive lead exposure. In cases of borderline blood levels, an EDTA lead mobilization test may be considered. Chelation therapy monitoring may be indicated. Lead and organic lead compounds have numerous commercial and industrial applications, use in paints, plastics, storage batteries, bearing alloys, insecticides, and ceramics. Exposure may also occur through the inhalation of dust containing lead emitted by automobile exhausts. A common source of lead exposure among children is derived through the mouthing of inanimate objects, specifically objects with paint and paint chips that contain lead. Acute lead exposure is rare; however, toxicity may occur through acute ingestion of a lead salt or acetate. Urine is suggested specimen in which chronic lead poisoning may be monitored.  BEI® are reference values intended as guidelines for evaluation of occupational exposure. BEI® represent biological levels of chemicals that correspond to workers with inhalation exposure equivalent to the threshold limit value (TLV®) of the chemicals. TLVs refer to the airborne concentrations of substances and represent conditions under which it is believed that nearly all workers may be repeatedly exposed, day after day, without adverse health effects.


Treatment Idea Insurance Policy Near By Expert Wellness Plan Events Community Forum Wiki

Visceral leishmaniasis (kala azar) is a disseminated intracellular protozoal infection that targets primarily the reticuloendothelial system (liver, spleen, bone marrow) and is caused by Leishmania donovani, Leishmania chagasi, or Leishmania infantum (Leishmania donovani complex).  Transmission is by the bite of sandflies. Clinical symptoms include fever, weight loss, and splenomegaly; pancytopenia and hypergammaglobulinemia are often present. Most (90%) new cases each year arise in rural areas of India, Nepal, Bangladesh, Sudan, and Brazil but the disease has a worldwide distribution, including the Middle East.  Definitive diagnosis has required the microscopic documentation of characteristic intracellular amastigotes in stained smears from culture of aspirates of tissue (spleen, lymph node) or bone marrow. The detection of serum antibodies to the recombinant K39 antigen of Leishmania donovani is an alternative noninvasive sensitive (95%-100%) method for the diagnosis of active, visceral leishmaniasis.


Treatment Idea Insurance Policy Near By Expert Wellness Plan Events Community Forum Wiki

Leptin is a hormone produced by fat cells in the body. It is the gatekeeper of fat metabolism, monitoring how much energy a person takes in. Leptin acts to maintain energy balance in the body by regulating metabolism and hunger. The level of leptin circulating in your body is directly proportional to the total amount of fat you have. That means the more fat you have, the greater the amount of leptin you have. When present in high levels, it signals our brain that we’re full and can stop eating. When low, we feel hungry and crave food. Most people don't have a leptin deficiency, rather they have lost sensitivity to their leptin. Much like insulin resistance, it's possible to have enough leptin in your blood, but because your body doesn't use it effectively, you still feel hungry. In these cases, the leptin is not getting into the brain effectively and it is important to take measures to improve your body’s leptin sensitivity. This improvement can help you maintain a stable body weight.

Treatment Idea Insurance Policy Near By Expert Wellness Plan Events Community Forum Wiki

Leptospirosis is a zoonotic disease transmitted through soil, food or water contaminated by urine of infected animal. Illness may be self limiting or cause Hepatorenal failure (Weil syndrome. IgM antibodies appear within 1-2 weeks after onset of illness and peak at 2-4 weeks.Leptospirosis is a zoonotic disease transmitted through soil, food or water contaminated by urine of infected animal. Illness may be self limiting or cause Hepatorenal failure (Weil syndrome. IgM antibodies appear within 1-2 weeks after onset of illness and peak at 2-4 weeks.

Treatment Idea Insurance Policy Near By Expert Wellness Plan Events Community Forum Wiki

A leukocyte alkaline phosphatase (LAP) test is a laboratory test that can be conducted on a sample of your blood. Your doctor can order it to measure the amount of alkaline phosphatase, a group of enzymes, in certain white blood cells. Before the advent of more advanced tests, the LAP test was commonly use to diagnose chronic myeloid leukemia (CML). This is a type of cancer than affects white blood cells. If you have CML, the level of alkaline phosphatase in your white blood cells will be lower than normal. Some doctors still order the LAP test to check for signs of CML. It can also help them rule out other disorders. But it’s now generally accepted that a cytogenetic test (a test of your cells and chromosomes) is needed to confirm a CML diagnosis. As a result, the LAP test is used less often now than in the past.


Treatment Idea Insurance Policy Near By Expert Wellness Plan Events Community Forum Wiki

LH is a hormone that’s produced in the pituitary gland. The pituitary gland is located at the base of the brain, and it’s roughly the size of a pea. If you’re a woman, LH is an important part of your menstrual cycle. It works with follicle-stimulating hormone (FSH), which is another gonadotropin made in the pituitary gland. FSH stimulates the ovarian follicle, causing an egg to grow. It also triggers the production of estrogen in the follicle. The rise in estrogen tells your pituitary gland to stop producing FSH and to start making more LH. The shift to LH causes the egg to be released from the ovary, a process called ovulation. In the empty follicle, cells proliferate, turning it into a corpus luteum. This structure releases progesterone, a hormone necessary to maintain pregnancy. If pregnancy doesn’t occur, the levels of progesterone drop off and the cycle begins again.If you’re a man, your pituitary gland also produces LH. The hormone binds to receptors in certain cells in your testes called Leydig cells. This leads to the release of testosterone, a hormone that’s necessary for producing sperm cells.

Treatment Idea Insurance Policy Near By Expert Wellness Plan Events Community Forum Wiki

Your pancreas makes an enzyme called lipase. When you eat, lipase is released into your digestive tract to help your intestines break down the fats in the food you’re eating. Lipase also allows cell nutrients and cell waste to move through the walls of the cells in your body. Certain levels of lipase are needed to maintain normal digestive and cell function. Abnormally high levels of the enzyme in your blood can be a sign of a health problem.The serum lipase test is used to measure the amount of lipase in the body. The lipase test is often ordered at the same time as the amylase test. An amylase test is used to diagnose diseases of the pancreas. The results from these tests are typically used to diagnose and monitor specific health conditions, including:


Treatment Idea Insurance Policy Near By Expert Wellness Plan Events Community Forum Wiki

This group of tests measures the amount of cholesterol and other fats in your blood. Cholesterol and triglycerides are lipids, or fats. These fats are important for cell health, but they can be harmful when they build up in the blood. Sometimes they can lead to clogged, inflamed arteries, a condition call atherosclerosis. This may keep your heart from working normally if the arteries of your heart muscle are affected. This panel of tests helps predict your risk for heart disease and stroke.


Treatment Idea Insurance Policy Near By Expert Wellness Plan Events Community Forum Wiki


Reference ranges of lipoprotein (a) (Lp[a]) vary and depend on assay and reporting laboratories. They also differ by population and may differ regionally worldwide. Nonetheless, many US lipidologists generally consider an Lp(a) level of less than 10 mg/dL to indicate a lower cardiovascular risk. levels higher than 10 mg/dL are associated with an increase in cardiovascular risk (see Interpretation). The apolipoproteins have a primary responsibility for the transport of lipids and cholesterol. Apolipoprotein B (apoB) is a nonexchangeable lipoprotein that exists in two forms in humans, apoB-100 and apoB-48.


Treatment Idea Insurance Policy Near By Expert Wellness Plan Events Community Forum Wiki

Lithium has been the gold standard drug for treatment in bipolar disorder. It was administered as thrice daily with standard preparation; later twice daily with the availability of sustained release preparations. The efficacy of lithium is dose-dependent and reliably correlates with serum concentrations. Therapeutic efficacy of lithium demands maintenance of serum concentrations in the range of 0.8 and 1.2 mmol/L (trough level).[1] Lower levels are considered to be noneffective, and serum level above this range would lead to side-effects and toxicity. Amdisen[2] proposed the use of a standardized 12 h serum lithium concentration, which subsequently became the universally accepted mode of monitoring lithium levels in patients who have been taking the drug in two or more divided dosages with standard preparations where the last dose would be administered at bed time. It is convenient for the patient to provide a blood sample to check the trough levels before the next morning dose. However, in the current day, clinical practice once a day (OD) dose is being prescribed for reasons of better compliance.[3] The current practice is to measure serum lithium levels at 12 h after the last dosing, irrespective of BD/OD administration.

Now the clinical question is whether this standardized 12 h serum level estimation indicates true trough level when lithium is administered as OD dosage. If not, would it lead to misleading clinical decisions in estimating the correct dose of lithium and also erroneous interpretations of lithium nonresponse? The current study is undertaken to test this hypothesis! To the best of our knowledge, this would be the first study to be published in the literature to determine the appropriate time for serum lithium level estimation for OD administration of sustained release preparations of lithium


Treatment Idea Insurance Policy Near By Expert Wellness Plan Events Community Forum Wiki

Liver function tests help determine the health of your liver by measuring the levels of proteins, liver enzymes, or bilirubin in your blood.


A liver function test is often given in the following situations: to screen for liver infections, such as hepatitis C

to monitor the side effects of certain medications known to affect the liver

if you already have a liver disease, to monitor the disease and how well a particular treatment is working

to measure the degree of scarring (cirrhosis) on the liver

if you’re experiencing the symptoms of a liver disorder

if you’re planning on becoming pregnant

Many tests can be performed on the liver, but most of them don’t measure the overall function of the liver. Commonly used tests to check liver function are the alanine transaminase (ALT), aspartate aminotransferase (AST), alkaline phosphatase (ALP), albumin, and bilirubin tests. The ALT and AST tests measure enzymes that your liver releases in response to damage or disease. The albumin and bilirubin tests measure how well the liver creates albumin, a protein, and how well it disposes of bilirubin, a waste product of the blood.

Having abnormal results on any of the liver function tests doesn’t necessarily mean you have liver disease or damage. Talk to your doctor about the results of your liver function test.

Treatment Idea Insurance Policy Near By Expert Wellness Plan Events Community Forum Wiki

Lupus anticoagulant (LAC) testing is important for evaluating patients with antiphospholipid syndromes and hypercoagulable states. We reviewed results of proficiency testing challenges (n = 5) distributed by the North American Specialized Coagulation Laboratory Association to examine LAC testing performed by participating laboratories. The activated partial thromboplastin time (APTT) and dilute Russell viper venom time (dRVVT) constituted major testing methods. In screening studies, LAC-sensitive APTT methods were more sensitive to weak LAC than dRVVT-based methods but less specific. In confirmatory testing, dRVVT methods performed better, but performance was LAC-dependent. The highest false-negative confirmatory test results were obtained for the platelet neutralization procedure. Noncompliance with recommendations for LAC testing by the International Society on Thrombosis and Haemostasis was high (8%–38%), with the majority of noncompliant laboratories failing to report results of mixing studies. These data provide new insights into LAC testing in North America and identify opportunities for standardization.


Treatment Idea Insurance Policy Near By Expert Wellness Plan Events Community Forum Wiki

Lyme disease is caused by a bacteria, Borrelia burgdorferi, that’s transmitted to humans through a bite from an infected black-legged or deer tick. Symptoms can occur anywhere from 3 to 30 days after the bite, and symptoms can be wide-ranging, depending on the stage of the infection. The chances you might get Lyme disease from a tick bite depend on the kind of tick, where you were when the bite occurred, and how long the tick was attached to you, according to the CDC. Black-legged ticks must be attached to you for at least 24 hours to transmit Lyme disease.


Treatment Idea Insurance Policy Near By Expert Wellness Plan Events Community Forum Wiki

Lysozyme is a bacteriolytic enzyme that is found in some hematopoietic cells. It is primarily present in granulocytes, monocytes, and histiocytes. The enzyme is present in only minute amounts in lymphocytes; and is not present in myeloblasts, eosinophils, and basophils. Lysozyme in the plasma comes chiefly from the degradation of granulocytes and monocytes and its concentration reflects the turnover of these cells. Increases are seen in benign (eg, infection, inflammation) and malignant processes(eg, some leukemias). Plasma lysozyme is elevated in patients with acute or chronic granulocytic or monocytic leukemias and falls with successful treatment. Conversely, patients with lymphocytic leukemia may have depressed plasma lysozyme levels. Patients with renal disorders (including rejection of transplanted kidneys) or Crohn’s disease (regional enteritis) also tend to have elevated levels of plasma lysozyme.


Treatment Idea Insurance Policy Near By Expert Wellness Plan Events Community Forum Wiki